Martun Davoyan was traveling by car to work on September 23 when he saw a cat on the side of the road. The little kitten got scared when she approached the road and Martun noticed that she was pulling her hind legs. She turned to the internet for help, posting on the Nextdoor App asking for help from the community to catch it.
As a result, he and his wife spent the next two hours on a nonstop rescue operation. They finally found the lonely soul, who was hiding behind a block of concrete. I gently coaxed it out and took the little cat in my arms. They hurried to the veterinarian with their discovery, which turned out to be a young girl.

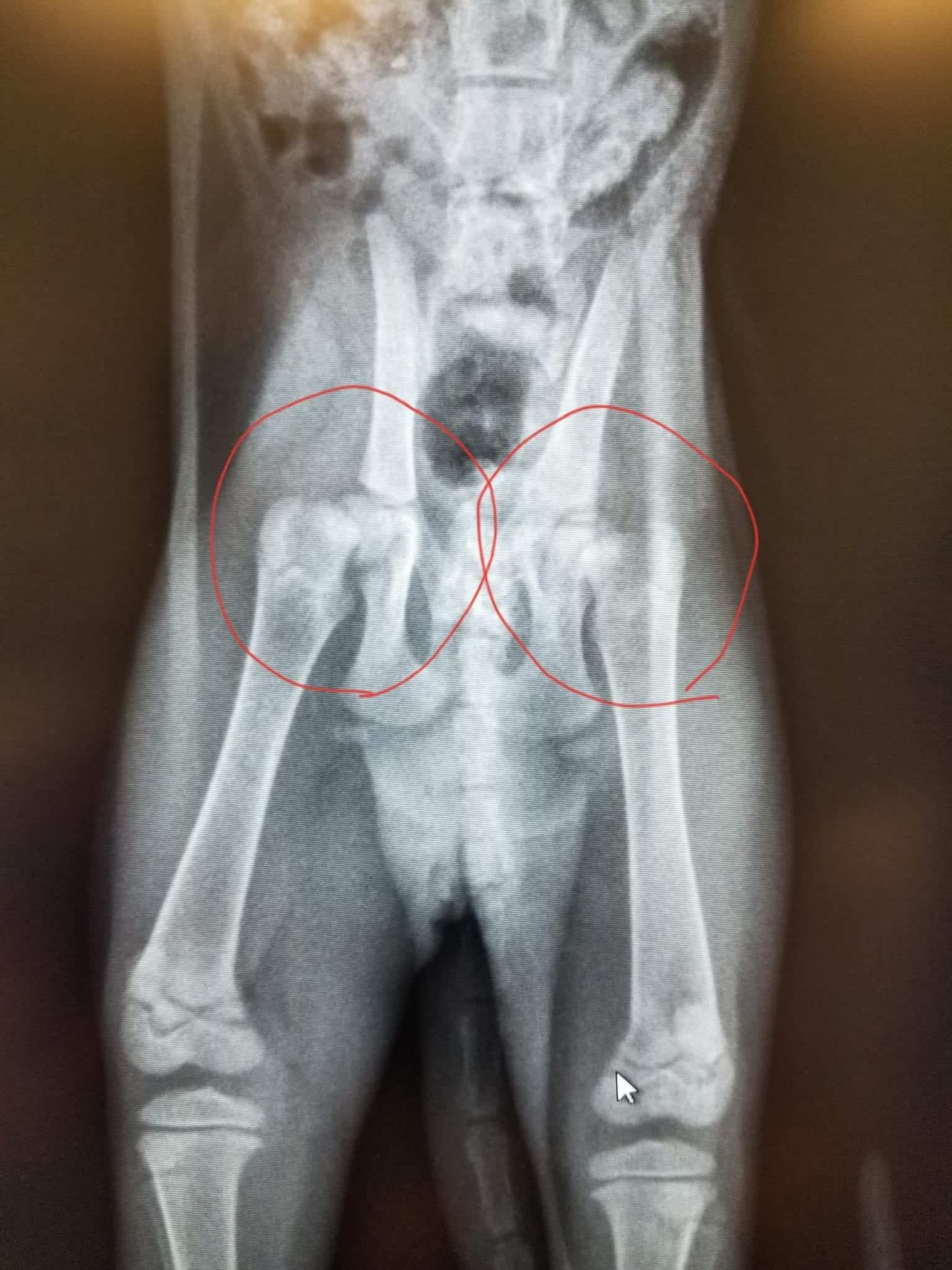
They were not sure if her problems were caused by an inherited disease. The couple thought someone had hit them with a car, or had fallen from above. However, she was only 2 months old at the time. And as soon as the vet examined him with x-rays, they got some sad news.
FHO is a surgical technique that removes the head and neck of the femur in order to restore pain-free mobility to a sick or injured hip (the long leg bone or thighbone).
By removing the head of the femur, an FHO improves hip mobility. The ball of the ball-and-socket joint is removed, leaving just an empty socket. The leg muscles will initially keep the femur in place, and scar tissue will develop between the acetabulum and the femur over time to provide cushioning, resulting in a ‘false joint.’ Despite the fact that this joint is physically significantly different from a typical hip joint, it allows most patients to move without discomfort.

Martun and his wife wanted to help her, but they did not know how. The couple decided to seek help online.
The news quickly spread to many well-meaning people, who sent funds for the kitten’s operation.
They discovered him crying and unable to urinate the next morning. So they quickly sent him to the vet.

Blood test results showed that bladder surgery would be needed that day! I went to a surgical expert for an ultrasound, who found out I had a possible abdominal wall hernia. This may be the source of bladder problems, although exploratory surgery would be needed. The degree of internal damage and bladder damage can only be determined after that. Unfortunately, doctors also discovered that her pelvis was out of place, which could mean other fractures.
A total care cost of at least $ 12,000 is expected.
Veterinarians now said that even with surgery, the outlook was not good. At the time, they could only speculate on the extent of the internal damage.

When we decided to euthanize Dino, we wanted to see her first to give her love and say goodbye. It had not even been 24 hours and we were all in love with her. All the humans were bonded, even though we just met via the Nextdoor App the night before.
But after waiting almost 45 minutes for them to bring her in to say goodbye, we received a shock.

The nurse then enters and explains, “Okay, one of our techs just learned about Dino, which is why it’s taking so long.” And if you submit her to the hospital, she wants to adopt her. ”
We all transitioned from sad tears to joyful yells and tears! We absolutely said yes, and we’d want to see Dino again to say goodbye and, if possible, meet her savior.
Danielle brought her in and was really sympathetic to our situation. She is completely devoted to Dino and will do all in her power to save him.
It had been an emotional roller coaster over the past 24 hours. Little Dino faces a difficult task in repairing the damage. But she’s already undergone the first operation to restore her abdominal wall, and she’ll have her legs repaired in a few weeks.

