A remarkable veterinarian suddenly rescued the life of a dog that was entirely blind by drilling into his skull.
Gus, the Golden Retriever was acquired when he was a young puppy by Sarah Millar, 40, and her daughter Mia, 16.
But before long, he began crashing into things and needed Mia to be his guide human on walks because he was losing his ability to observe his surroundings.
Veterinary Specialists Scotland (VSS) was recommended to him after eye-disease specialists who had examined him were perplexed and noted that his eyes appeared perfectly healthy.

Alexandra Ferreira, a neurologist, provided his care at the veterinary clinic where Sarah from Carlisle, Cumbria, brought him.
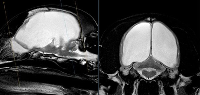
Gus’ blindness was caused by pressure growing inside his brain, according to scan results.
She said: “Gus had MRI and CT scans and Alexandra was amazed. She said he had the biggest case of hydrocephalus (fluid on the brain) that she’d ever seen and it was swamping both sides of his brain.
“I was shocked and couldn’t imagine the pain he was in but Alex said the result wasn’t the worst outcome as there was a way to drain the fluid and ease the pressure on Gus’s eyes and brain.”

Gus endured a torturous three-month battle that included numerous procedures to drain the fluid from his brain.
“Gus needed to have a shunt fit to drain the fluid from his brain into his stomach but there were a series of setbacks along the way,” Sarah continued.
“First, he reacted badly to the anesthetic, then he needed to have a second shunt fitted with a controller to govern the flow. There were lots of tears along the way and it was a real rollercoaster of emotions.”
After the last successful operation, the family was finally able to bring their cherished pet home in June.

Sarah said: “There were many times when we were worried to answer the phone in case it was bad news, the worst news.
“Instead, one morning we got the call to say that Gus had come off his sedation and had even been for a little walk outside.
“Not long afterward, Alex said he could come home because she felt he would thrive even more with his family around him.
“It was a wonderful moment. Gus is actually my daughter Mia’s dog and he came home in time for her 16th birthday.
“She says it was her best birthday present ever. It was a real happy ending. Although he doesn’t have his sight, he’s a fabulous dog, a one-of-a-kind and we owe Alex and VSS everything. She put her heart and soul into saving his life and we couldn’t be more grateful.”

“We don’t have an accurate way to measure the intracranial pressure in dogs and surgery had to be repeated using a high-pressure shunt to improve control,” according to veterinarian Alexandra, who cared for Gus at the Linnaeus-owned facility in Livingston, Scotland.
“When I placed this second shunt, I did not want to prep and drill the other side of the skull, as I was afraid of infections and further trauma, so I decided to go on the same side but reposition the shunt.
“Gus is far more responsive and interactive at home and I am delighted for him and Sarah and the family.”
